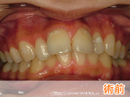
審美症例
審美症例
【施術前】
・上の前歯の歯並びや汚れを気にされていました。

【施術後】
・矯正をして歯並びを整え、前歯3本に関してはセラミックを被せることで、並び・見た目ともに満足いただきました。
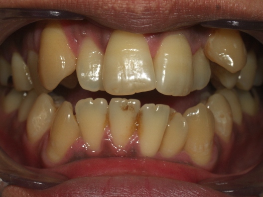
【施術前】
・下の前歯3本の歯並びをとても気にされている方でした。またお食事をする際には常に左の前歯が舌にあたってしまう状態となっていました。

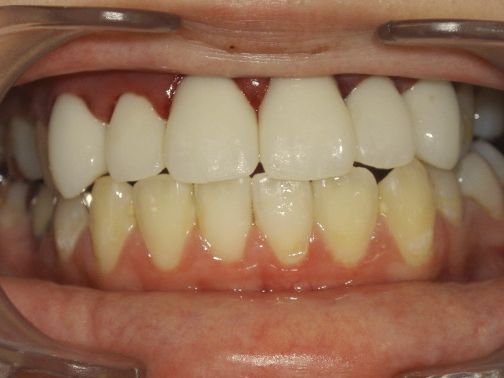
【施術後】
・矯正をしたことで、前歯の並びがとても綺麗になりました。また同時に上の前歯にセラミックを被せることにより、歯全体の輝きが変わりました。お食事の際にあった、歯と舌との接触も改善され、お食事がとても楽しい時間になったそうです。
【施術前】
・前歯2本の隙間が開いています。歯の汚れと隙間が気になって、上手く笑えないとお悩みでした。

【施術後】
・セラミックのブリッジを被せ、透明感のある自然な美しい歯並びになりました。ご本人からも「自信を持って笑うことができる」と満足いただきました。
【施術前】
・上の前歯にすき間が出来ていて、審美的に気になっているとのことであった。下の前歯もやや叢生で凹凸が見られた。

【施術後】
・上の歯2本分は透明感の高いセラミックによる審美治療を行った。下の歯に関しては治療中もなるべく目立たないようにしたいとのことで、見えない矯正(クリアライナー)により、歯並びを整えた。
【施術前】
・前歯の並びがデコボコで、色も気になって口元に自信がない。

【施術後】
・矯正とセラミック補綴を組み合わせ、色味は本人の希望によりやや白味を強調したセラミック冠を選択した。
口元の印象がガラリと変わり、本人も大満足であった。
【施術前】
・前歯の歯並び、すき間があり気になるとの事で来院。

【施術後】
・前歯4本にセラミックを被せることで、自分の歯のように自然な歯並びを手に入れた。
【施術前】
・上の前歯の歯並びが気になるとの事で来院。

【施術後】
・前歯にセラミックのブリッジを被せ、美しい歯並びを手に入れた。
【施術前】
・向かって左の前歯、プラスチックの詰め物とのツギハギ感が気になって来院

【施術後】
・オールセラミックの歯を被せ、色艶、形状に大変満足されていた
審美症例
【施術前】
・前歯が飛び出ているのが気になる、かみ合わせも治したいとの事で来院

【施術後】
・セラミックブリッジを被せ、前歯の歯並びとかみ合わせを改善した
審美症例
【施術前】
・向かって左の前歯が気になって来院
・治療済みの前歯であったが、根元が変色し、歯ぐきがどんどん下がっていた。

【施術後】
・オールセラミックの歯を被せると同時に、歯肉の形状回復を行った。
・艶やかな歯とバランスの取れた歯肉形状により、口元の審美性が劇的に改善された。
審美症例
【施術前】
・前歯に被せたプラスチックの被せ物がとれた、との事で来院。
・中で大きな虫歯が進行していた。

【施術後】
セラミックの歯を被せることで、審美性を大きく回復した
審美症例
【施術前】
・前歯の見た目、歯並びが気になって来院

【施術後】
セラミックの歯を被せ、審美性と歯並びを大きく改善した
審美症例
【施術前】
・八重歯が気になるということで来院

【施術後】
自然な透明感のあるオールセラミックブリッジにより、審美性と歯並びを改善した
審美症例
【施術前】
・向かって左の八重歯をこの機会に治したいとのご希望であった

【施術後】
透明感のあるセラミックでブリッジを被せ、自然な歯並びとなった。
審美症例
【施術前】
・プラスチックの被せ物と歯ぐきの境目が気になる

【施術後】
セラミックを被せ、審美性を回復した。
審美症例
【施術前】
前歯の骨が殆どないため、歯の根っこ部分が顔を出している状態だった。歯肉も後退しており、審美的に問題を抱えていた。

【施術後】
機能面及び、審美性の回復を考慮し、土台(骨)の造成からはじめた。骨造成を施し約1ヶ月後、充分に骨ができたのでセラミックの歯を被せた。歯肉の形状も整い、見違えるような口元になった。
審美症例(骨造成+セラミック)
【施術前】
・前歯全体に治療痕(ツギハギ、着色)が現れていた
・下の歯列が乱れていて、口元について相当気にされていた

【施術後】
・前歯全体に着色しない性質を持つセラミックの歯を被せた。
・鏡で何度も口元を確認され、「この歯を大事にします」と大変喜んでおられた。
審美症例
【施術前】


下顎正面2本の歯が、内側に捻転している歯並び。歯の色も気になっていた。
【施術後】
抜歯後、上下それぞれ4本をセラミックで被せ、
歯並びを整えることで短期間で
審美性を回復することができた。
審美症例
【施術前】
上の前歯全体の歯並び・虫歯を治したいとのことで来院。

【施術後】
セラミックを被せる治療を選択。
美しい口元で、自信を持って笑えるようになった。
審美症例
【施術前】


上の前歯全体の歯並びが気になるとのことで治したいとのことで来院。

【施術後】
歯軸の向きを揃えるため、3ヶ月程矯正治療を行った後、前歯6本にオールセラミックの歯を被せて治療した。
短期間で歯並びの悩みが解消され、喜んでおられた。
審美症例(骨造成+セラミック)
【施術前】
前歯部分が凹んでいて、普通にセラミックの歯を被せることが出来ない状態。
問題部位の骨が陥没しており、そこの骨を造成することから治療を行った。

【施術後】
骨の造成を施した上で、上の前歯部分にセラミックの歯を被せた。
長年お悩みになっていた部位であったが、審美的にも申し分ない仕上がりとなった。
審美症例(出っ歯の治療)
【施術前】


前歯2本が飛び出している。
セラミックを被せるだけでは、出っ歯の解消が難しい症状だった。

【施術後】


幾つかの選択肢があったが、前歯2本を抜歯し、
そこに審美性の高い特殊なセラミックブリッジを作ることになった。
出っ歯の解消が出来たのはもちろんだが、歯肉との境界線も含め
本物の歯と見分けがつかないレベルの仕上がりとなった。
3回の治療で終了。
審美症例
【施術前】
前歯の色、歯並びを美しくしたいとのご要望。
矯正治療も検討したが、時間的な制約と
審美性の向上を考慮した結果、
セラミックを被せる治療を行うことになった。

【施術後】
上6本、下は部分的にセラミックの歯を被せた。
思い切って、かなり明るめの色調にした結果、
お顔全体が明るくなったような仕上がりとなった。
また、歯並びの問題も解消され大変満足されていた。
審美症例
【施術前】


前歯が出っぱりが気になるとのことで、来院。
被せて治すケースについて、模型シミュレーションを行った上で治療法を決めた。

【施術後】


上の前歯4本にセラミックを被せる治療を行った。
前歯の位置は、事前のシミュレーション通りの位置に収まり、気にならないレベルになった。
審美的にも、変色の起こらないセラミックを用いることで美しい仕上がりとなった。
審美症例
【施術前】
プラスチックで治療済みの前歯の変色が前々から気になっていた、とのことで被せて治す方法を紹介した。

【施術後】
上の前歯4本をセラミックで被せて治療。
色艶のバランスをあわせ、自然な仕上がりになった。
審美症例
【施術前】
プラスチックで治療した歯に汚れや色が付きやすい状態を、数年間放置していた。虫歯治療で来院したのを機に、汚れがつかないセラミックの歯にて治療をすることになった。

【施術後】
以前と比べ別人のような口元に変化し、大変満足された。
また、こんなに変わるものなら早くやれば良かったとのこと。
審美症例
【施術前】
前歯の間にある隙間が気になる、歯を白くしたいとのご希望だった。プラスチックでの治療には抵抗があるとのことで、セラミックを被せることになった。

【施術後】
色調を明るめにすると同時に、艶を持たせた仕上がりにした。
大変、美しい口元になり満足されていた。
審美症例
【施術前】
歯全体が黄ばんでおり、プラスチックで治療した部分の変色(つぎはぎ)が激しかった。せっかく治すなら、人に自慢できるような歯にしたい、というご希望でセラミックの歯を被せることになった。

【施術後】
上下4本づつ被せることで、口元の印象は別人のようになった。
セラミックの色艶にも大変満足され、笑顔に自信が持てるようになったとのこと。
審美症例
【施術前】
一番目立つ前歯2本の状態が悪く、以前から気にされていたため、セラミックを2本分被せて治療をした。

【施術後】
たった2本を変えただけで、今まで悩んでいたのが嘘のような口元に変化した。
審美症例
【施術前】
・上下の前歯の歯並びが乱れて気になっていた。
・この機会に、上前歯の着色・変色も綺麗にしたいと考えていた。

【施術後】


・上前歯4本に透明感のあるセラミックの歯を被せ、歯並びを整えた。
・更に下前歯を矯正して上歯列と調和させた。
・笑ったときの美しい口元に大変満足されました。
審美症例
【施術前】


前歯が出っ歯気味になっており、ずっと気になっていたとの事で来院された。
また、前歯が黄色くなっていたので、白い前歯にしたいとのことだった。

【施術後】


セラミックの歯を被せることで、
出っ歯と色味を同時に改善した。
僅か2週間で白く美しい口元のラインが
手に入り、大変喜んでおられた。
審美症例
【施術前】
以前、プラスチックを被せた前歯が変色。
プラスチックが剥がれ、金属部分が露出、歯肉の形状も不自然で気になっていた。

【施術後】
該当箇所にオールセラミックを被せ、歯肉形状も調和のとれた美しいラインに仕上げた。
審美症例
【施術前】
40代女性。これまで前歯の虫歯が数回あり、その都度保険の治療(プラスチック)をしていた。
現在は、上の前歯4本全体がツギハギ状になっている。

【施術後】
上の前歯4本にオールセラミックを被せ、ツギハギの無い美しい口元へ。
治療回数は2回(約2週間)
審美症例
【施術前】
数年前から気にされていたという上の前歯。過去、プラスチックでの治療を重ねたために、全体的なツギハギ・着色が一目でわかる状態でした。また、前歯の咬み合わせにも問題がありました。
患者様のご希望は「女性らしい微笑みが似合う、美しい口元にして欲しい。」

【施術後】
前歯6本をオールセラミックスにて修復し、同時に歯並びも整えました。
セラミックの素材特性を活かした歯そのものの美しさ、そして笑った時の歯並びの美しさを確認され、大変感激されていました。
審美症例
【施術前】
上の前歯全体(3年前に他院でプラスチック治療)が変色してしまい、口を開けて笑うことが出来ないということで来院されました。

【施術後】
変色しないセラミックの歯を被せ直し、同時に抜けてしまっている左側の犬歯部分にインプラントをすることで、大変美しい歯と口元になりました。
審美症例
【施術前】
インプラントを埋めた時の口腔写真
前歯がなく、審美性が悪いので治したいが主訴でした。前歯のないところにインプラントという人口の根を埋めた時の写真です。

【施術後】
インプラントのかぶせ物が入った時の口腔写真
インプラントの上部構造であるかぶせ物をし、全体的に統一され、美しい前歯になりました。
審美症例
【施術前】
前歯の溝接にCRが目立つ口腔写真
前歯の歯と歯の間にプラスチックの詰め物があり、つぎはぎが目立ちます。

【施術後】
前歯がきれいになっている口腔写真
前歯4本をラミネートベニアにしました。ラミネートベニアにすると、バランスのとれた大きさ、つぎはぎのない色になり、美しい前歯になりました。
審美症例
【施術前】
反対咬合で歯が変色している口腔写真
前歯の咬み合わせが、うけ口になっています。向かって左側の前歯が、変色してしまっています。

【施術後】
術後の口腔写真
上の前歯4本をオールセラミックにし他の歯をホワイトニングしました。
オールセラミックをかぶせることで、形・大きさ・色・輝き・歯並びが整った美しい歯になり、魅力的な歯並びになりました。
審美症例
【施術前】
歯のまわりに汚れがついています。これによって、歯周病がすすみ、歯ぐきがさがってしまっています。歯がないところ、歯並びを治したいという理由で来院されました。

【施術後】
汚れをすべてきれいにし、セラミックをかぶせることにより、審美性がよくなり、きれいな歯並びになりました。
審美症例
【施術前】
向かって左側の前歯がプラスチックにより、つぎはぎが目立つのできれいにしたいという理由で来院されました。

【施術後】
ラミネートベニアで、表面をきれいにすることにより自然で審美性のある前歯になりました。
審美症例
【施術前】
向かって左側の前歯2本の色と歯並びがよくありません。

【施術後】
向かって左側2本の前歯にセラミックをかぶせることにより、自然な色になり、歯並びが以前とは比べ物にならないほどよくなりました。
審美症例
【施術前】
プラスチックのつぎはぎが目立ち、歯並びがよくありません。歯並びが悪いと治療をしてもまたすぐに虫歯になってしまいます。

【施術後】


前歯4本をオールセラミックでかぶせることにより以前のプラスチックのつぎはぎがなくなり、
自然な歯並びになりました。
審美症例
【施術前】
前歯4本のプラスチックのつぎはぎが目立ち、変色しています。色も全体的に白くしたいという主訴で来院しました。

【施術後】
歯全体を漂白し、その色にあわせて前歯4本をオールセラミックをかぶせることにより、自然で魅力的になりました。笑顔に自信が持てると本人も喜んでいました。
審美症例
【施術前】
向かって左側の上の歯が引っ込んでいます。 向かって右側の下の前歯が乱れています。

【施術後】
向かって左側の上の歯は、歯列から大幅に内側に引っこんでいたため、かぶせて治しました。
向かって右側の下の前歯もかぶせることにより、きれいに歯がならびました。







